肺隔离症ppt

相关图片

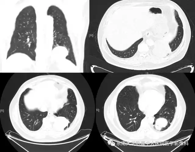
肺隔离症影像表现_郑孝飞

右肺下叶肺隔离症一例-中国期刊网

年轻女子咳嗽,咳痰2年,病因不寻常……_肺隔离症_医脉通

肺隔离症

肺隔离症诊断之影像与病理

随机推荐

电脑壁纸 桌面壁纸 聊天背景 锁屏壁纸 ins 油画 iphone 【禁商用】

王源的女朋友李佳宁李佳宁和王俊凯吻照合照亲密照

许凯soso #西装杀 这么可爱的凯凯你们爱了吗?说说你们 - 抖音

折木奉太郎头像##二次元新鲜事

歌词仿写day6再遇见苏打绿重回怀抱

优美旋律广场舞《荷塘月色》优美32步,既简单又好看附教学

李嘉欣晒与儿子"亲密照",看到儿子手的位置后,让人大跌眼镜!

瑜伽女神开胯排毒燃脂,胃肠道也能得到很好修复,背部肌肉不酸胀