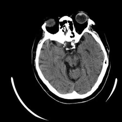
67超急性期大面积脑梗死ct平扫表现

相关图片

行颅脑ct平扫(可点击图片放大查看)

术前检查头颅ct平扫发现"颅底凹陷症"1例_测量_枕骨_形态

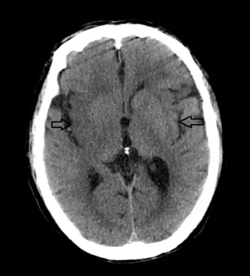
通过ct平扫和核磁t2及flair像,均发现病灶显示不是很明显,容易造成漏

入院查体提示头颅畸形,左侧额颞顶部颅骨缺损,入院完善颅脑三维ct检查

▎头颅ct平扫有高血压病史10年,最高血压190/100mmhg,目前口服药物

随机推荐

19岁王俊凯素颜照曝光,女孩子看了都汗颜,网友:简直吓到我了

肖战#

tfboys里18谁的王俊凯俊美帅气,网友:穿衣搭配和发型时尚帅气

本周看点丨黄渤新片千里寻女杨紫解锁独立女性成长秘籍

迟志强个人资料照片 迟志强为什么坐牢

小清新女生头像海边

可爱兔兔女孩.#女生头像 #少女头像 #甜妹 #动漫女头 # - 抖音

莱芜家装设计效果图_莱芜室内装修报价-土拨鼠莱芜装修网