一套非常牛的「头颅ct解剖图谱」

相关图片

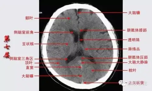
头颅ct 解剖图谱,人手一份

头颅ct断层解剖

影像总结头颅ct基本知识与常见病变

影像医生必须掌握的头颅ct解剖与常见出血梗死判读

头颅ct解剖与常见出血梗死判读

随机推荐

张艺兴西装帅气写真高清桌面壁纸

周大福18k金钻石手链上新

刀马旦

马嘉祺这组红衣造型好惊艳,带刺的红玫瑰,绝美|马嘉祺|红玫瑰|彩虹

临夏批发商用小型纯净水机 家用立式净水机 永宸现货直卖全国发货

千年苗医 万年苗药 古法秘制-开启健康理疗新时代

忙碌的生活需要烟火,也需要这种静静的美好!

裤子的叠法