牙齿不齐,大龄女白领的烦心事

相关图片

堪比整容,难怪那么多人选择戴牙套!

牙齿矫正前后对比实在太大啦!30多岁都不算晚!

大龄女青年矫正牙齿效果,我来告诉你自锁牙套矫正效果如何!

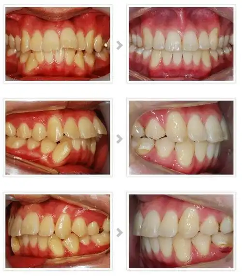
牙套前后对比来了

矫正案例前后对比

随机推荐

可口可乐释出全新代言人线索喉结特写镜头是王俊凯没错了

电脑桌面壁纸尺寸(1920x1080)适合任何电脑尺码,全是以绿色图片为背景

#西装画法#西服衬衣领带等男装画法... 来自大触来了专栏 - 微博

到现在小编仍然觉得穿着清朝服装的僵尸是最恐怖,最好

秀禾服大红色婚鞋2022年新款结婚鞋子高跟鞋红鞋女婚鞋新娘鞋细跟红

动漫 #偶像星愿 #idolish7 #trigger # - 抖音

大摆裙子名媛红色连衣裙2020年新款收腰显瘦流行长裙ht00108

廉价,销售所有电子配件西安骊创点在科技有限公司-「连接器」