分不清ct"平扫""增强"?去医院做ct检查的注意事项都在这里!

相关图片

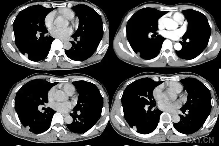
图片是患者ct平扫和多期增强扫描(动脉期,静脉期,平衡期或延迟期)的

胸部ct平扫01.jpg

胸部ct平扫示左下肺占位肺癌

pet ct=真相!_病变_玻璃_显示

人的胸部ct结果,医生会在报告单中写平扫肺窗(肺窗主要显示肺部组织

随机推荐

梅艳芳十周年纪念手机图片壁纸

黄磊个人资料简介及婚史家世 黄磊和刘若英的情史是真的吗 - 网络编辑

治愈系简约意境手绘插画,艺术壁纸-回车桌面

震惊!易烊千玺与张子枫在一起了?

温馨的干花背景创意设计桌面壁纸高清大图预览1920x1080_设计创意下载

搞笑 爆笑 龙猫 亲亲

创造营2020张艺凡

于震经纪人-北京名声好的孙茜明星代言哪里有