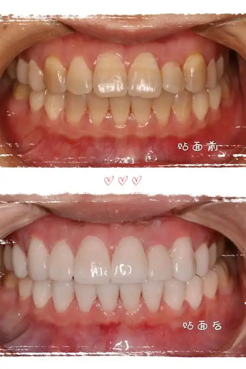
瓷贴面修复对比图

相关图片

379口腔诊所牙科牙齿对比图模板海报psd正畸牙贴面牙缝填补美白

树脂贴面和全瓷贴面的效果对比

美加超薄美牙贴面适用于所有想要改善牙齿颜色和形态的人,都可以通过

树脂贴面对比图

4)最新的陶瓷牙贴面材料与自然牙齿有十分类似的光学性质,修复后的

随机推荐

有的流量去踩缝纫机有的成了出品人归国四子各自发展大不同

组图:宋茜杨幂三年后再合体 红毯间隙亲密自拍_高清图集_新浪网

[11月壁纸战]2010.10.31~万圣节~等级up18,黑暗系魔法学徒参上!

王一博的凡尔赛,西服照片帅炸了!

迪士尼姐妹头像

图4-16为三根塑料硬导线的并头连接方法.

央视钱琳琳:我这辈子最正确的决定,就是带着儿子嫁给小丈夫张译_郑弘

王一博蔡徐坤谁才是顶流?四字资源飞升?2021八大选秀齐发力