日进斗金主题图案与虎年元素结合,新年氛围感,肖战就是要你红

相关图片

【肖战】红红火火,日进斗金,以潮流方式诠释新年风格,"战"放无限可能!

肖战最新品牌大片 红红火火,日进斗金!

肖战2021新年快乐热爱可抵岁月漫长allthebest

肖战新年日历更新辞穷迎富节节高升微笑小战上线

【肖战】叮咚~滴露新年tvc幕后花絮释出,请查收这份新年特别礼物

随机推荐

吕小雨挑梁青青子衿女一古灵精怪宠溺强袭

盘点香港9大经典赌片,《赌神》仅排第4,周星驰多部上榜|赌圣|王晶

q版人物萌图女简单_伊卟图库

吴磊:一句话就化解迪丽热巴的年龄焦虑,凭实力带着姐姐暴富

超级逗比的情侣头像很有意思的一个人一张

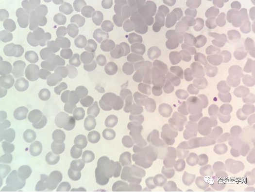
面对一份「高冷」的红细胞凝集标本,你会如何处理?

(2024) 3d导演: 亚当·温加德编剧: 特里·鲁西奥 / 西蒙·巴雷特

幽鬼图片dota2英雄图片