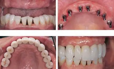
55岁黄阿姨做半口种植牙 期待笑口常开_我的网站

相关图片

我从这个病例中学到了:认真,认真,再认真! - 美篇

长沙老年人适合做种植牙吗?术前术后有什么需要注意的?-名医汇

种牙案例:六旬老人德伦半口种植牙 - 顺德德伦口腔医院

种植牙好不好_种植牙的弊端_半口种植牙好不好_老人做种植牙好不好_种

老年人缺牙人必看:八十岁老年人可以做种植牙吗?有什么危害吗?-口腔医

随机推荐

易烊千玺可爱可爱帅气头像

你屏幕壁纸为纯黑怎么弄好的,我的变黑了.求助啊

随随便便就能说出几对,比如陈小春应采儿,孙俪邓超,张若昀唐艺昕,鹿晗

郑裕玲

dnf战法三觉立绘 化身太古女战神

活动 "不好意思,夏目和的场的cp我先磕了~"

真的无功无过,还花了很多钱大痘痘用立思丁(夫西地酸乳膏)/红霉素软膏

复原的前掌大遗址商代晚期战车