▌ 矫正前后面像对比

相关图片

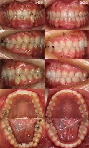
矫正前后口内像对比

戴牙套前后对比

仿生美牙冠做牙齿修复,不仅可以不用拔牙,而且也不用担心戴牙套的烦恼

大龄女青年矫正牙齿效果,我来告诉你自锁牙套矫正效果如何!

牙套前后对比来了

随机推荐

网络丑女排行榜top20

刘耀文萌探探探案

零基础二次元插画学习技巧!|素描|绘画|动漫_网易订阅

三格壁纸

衡阳县岘山乡2007225抢劫杀人案凶手陈小波被执行死刑

『胭脂』♡蓝胭脂♀赵丽颖 - 堆糖,美图壁纸兴趣社区

《我是唱作人》梁博演唱曲目合集

盘点明星父子 最后一对竟是父子 我是最后一个知道的吗