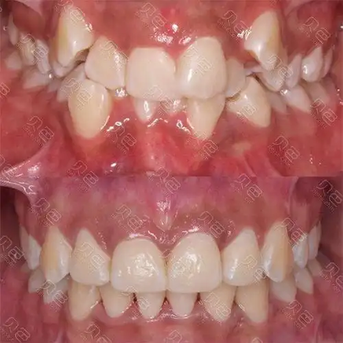
来矫正的顾客,很多都是尖牙突出,也就是人们口中的虎牙长在牙列的

相关图片

拔虎牙后嘴巴塌陷照片

拔过牙的地方牙龈凹陷了,有人经历过这样的吗

由于下方虎牙的原因,嘴角下置,两边脸不对称

拔牙后感觉脸有些凹陷了,不知道是不是错觉

你们谁知道有虎牙的怎么矫正,不能拔!拔了会让嘴巴塌陷

随机推荐

华为荣耀magicbook 2019桌面壁纸

小脸女生超短发发型女,清爽的超短发太岚了

思念小汤圆

主持人,二婚娶小13岁娇妻,今50岁老来有喜生龙凤胎_水均益_专访_杨迪

原创32岁的宋茜现身机场,把毒汁裤剪开两道口子,意外凹出超模范

张韶涵美图壁纸|写真分享_网易订阅

男生有刘海的发型这么修剪英俊有气场的短发呈现

2022年石家庄城市建设学校招生简章