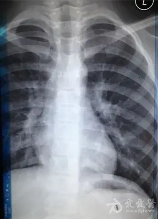
新生儿30天得肺炎,现在在妇幼icu,这是胸片,很严重吗

相关图片

胸片可见两肺弥漫炎性渗出影,因此诊断为小儿支气管肺炎

用了退热贴,就降下来了,第二天去医院,拍的胸片医生说严重支气管肺炎

(详细讲解肺炎胸片和最新病案~)

请各位大夫帮看看,孩子这个胸片正常了吗?还需要继续吃药吗?

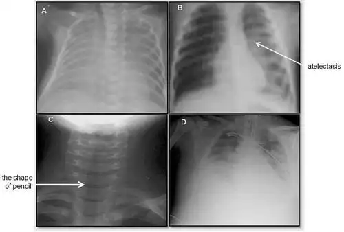
小儿呼吸道合胞病毒肺炎

随机推荐

橘子娱乐

唐嫣刘亦菲合照

电视剧对手热拍中王婉娟化身最美现代女间谍

十二星座星星图案大全 十二星座图案大全 星空图

看看38岁范冰冰再看看28岁郑爽两人同框后气质差距一目了然

东港如家酒店欢迎您回家!

江苏省纪委常委连云港市委常委纪委书记刘海涛一行莅临我司调研发展

日系夏日唯美街道风景高清桌面壁纸