而中分长直发给人一种很有气质的感觉,这样不仅优雅而且大方.

相关图片

女星扎堆剪短发?大伙来评论评论这些发型的特点

剪了短发的佟丽娅赵丽颖美出新高度!

娱乐:范冰冰挑战各种头发造型,每张都能美成仙

国内衣品值得学习的女明星可不止宋妍霏,快睁大眼看看戚薇.

赤橙黄绿青蓝紫,这些美丽头发的女星,你认识哪一位? zt

随机推荐

韩国美女郑恩地高清机场街拍图片(二)_明星_美桌图片库

"杜志国的潇洒爱情:娶小12岁娇妻,还搞大45岁妇女肚子_杜淳_杨丽_婚姻

郑爽私底下真是小可爱一枚,格子衫 背带裤,真不像29岁的人

日常套路表情包 #情侣日常套路 #搞笑合集 #情侣幽默聊天 - 抖音

本期组词:体育生命在于运动,体育无处不在.

中国图腾吉祥纹饰龙虎凤图案

今天我们要从解剖学的角度来带大家认识斜方肌,了解他的形态位置以及

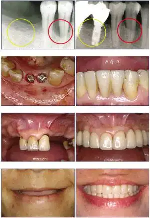
种植牙前后对比图.