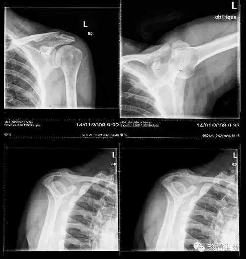
肩部背部外伤要注意肩胛骨,肩关节正位不宜观察,可以结合斜位,最好ct

相关图片

遇到肩部外伤时肩关节ct有必要做吗

带导线的肩部x线jpg

福德医院骨质疏松专家何向阳主任成功为七旬骨质疏松老人复位肩关节

肩关节内肌腱钙化是怎么回事_肩周炎_肩周炎治疗方法 - 好大夫在线

重视肩关节疼痛,认识肩袖损伤. 沭阳县人民关节外科

随机推荐

万茜哪些瞬间让你惊艳了呢

影视剧里得王晓晨,这身材太好了.

宋亚轩楼外楼演唱会##时代少年团叁重楼暨出道四周年演唱会##时代

博兴县农家嫂老粗布专业合作社

虞书欣 - 堆糖,美图壁纸兴趣社区

足球明星messi里奥梅西凌空抽射,高清图片,手机壁纸

好看的qq动漫头像伤感寂寞男生 动漫头像图片大全 -【爱个性】

【停课不停学】天元小学葫芦丝三重奏《映山红》第一声部