勇气梁静茹经典歌曲实力唱将

相关图片

「青春派」就让梁静茹给予你不同凡响的《勇气》!

梁静茹演唱会沈阳 #巡演 #勇气梁茹静 #舞 - 抖音

勇气梁静茹

梁静茹经典歌曲《勇气》爱需要勇气的

【梁静茹mv补全计划】2000《勇气》-昨天

随机推荐

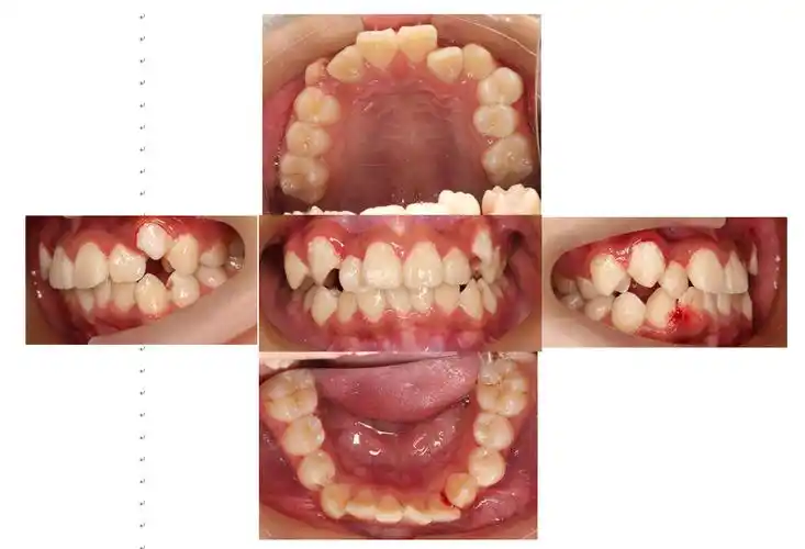
牙列拥挤病例拔除四颗双尖牙 - 好大夫在线

day8生日面附刻字教程

赵露思好可爱,幽默调侃自己澳门服装造型,鬼迷日眼的照片

圆脸男生适合的发型这几款真的是帅爆了

情侣头像高质量黑白一对两张图片

南京夫子庙秦淮河畔古风建筑,图片 - 真棒壁纸

2021最新情侣头像卡通呆萌一对一左一右可爱图片

3阶魔方顶层角块顺时针和逆时针换位公式(是在顶层复原后用的公式)最