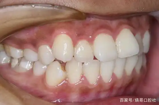
12岁外甥长了虎牙 拔还是不拔? 急死人了

相关图片

如果拔掉虎牙那口角两边会塌陷,看起来跟

拔过牙的地方牙龈凹陷了,有人经历过这样的吗

有没有拔牙内收太多嘴瘪的小伙伴啊

我今天一早就有种拔牙的冲动我已经不止一次被虎牙硌破上嘴唇啦发现有

你们谁知道有虎牙的怎么矫正,不能拔!拔了会让嘴巴塌陷

随机推荐

刘涛马天宇雪藏4年的作品播出,制片人最怕的原来是官方审核

明星晒孕肚,熊黛林最幸福,孙俪最妖娆,只有她最丑

5k月球高清动态桌面壁纸是一组高清月球电脑… - 堆糖,美图壁纸兴趣社

男生经典怀旧头像 高级好看的文艺有韵味复古的头像男生高清图片_男生

在水中悠闲高傲的白天鹅图片第28张

小提琴谱:上海滩(小提琴独奏)

虞书欣橙色妆 超级可爱的橙子欣欣美的嘞

短直发,这是最常见的发型,直接让理发师把男宝宝的头发剃短一点,科痧