60万路虎自燃直接报废,女车主索赔百万,4s店:只能赔一半

相关图片

尘埃落定!路虎女车主正式道歉,官方再度通报,事件终告一段落!

闹大了,逆行追尾还打人的路虎女车主,"底裤"都快要被扒光了!

这一次,路虎女车主的过往被网友扒了出来,微信签名同样很嚣张

青岛再通报路虎女车主逆行打人事件系行车纠纷不构成寻衅滋事不构成

厦门路虎女车主和代驾车震,全程未关门引发围观_事件_正在进行_行为

随机推荐

寸头发型是每个男生都可以去剪的发型,不管你是方脸型还是圆脸型,都有

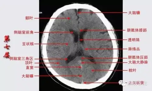
头颅ct断层解剖

韩国成员都暻秀不续约?exo难道真的要解散了!

活动作品张嘉译闫妮主演的电视剧装台取景地城中村里真实奋斗的打工人

二次元 插画 动漫 色彩 温馨 悲伤 哭 雨中 手绘 原创 少女 [by画师

2012年注册室内设计师考试报名是什么时候?

漂亮婚纱新娘 - 小鱼儿 - 荷塘月色

彩虹头像男生