小孩蛀牙怎么办(5岁儿童烂牙到底要不要补)插图

相关图片

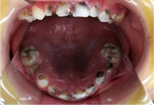
4岁女童14颗烂牙变白牙青岛妇儿医院城阳院区舒适化治疗解难题

儿童蛀牙是许多家长都非常关心的问题.

儿童牙齿蛀牙图片

苏宁优选儿童牙粉黑斑非蛀牙修复牙洞膏龋齿修复成人牙痛牙疼

龋齿

随机推荐

2015迪丽热巴《怦然星动》定档发布会_高清图片大全-爱豆app

张予曦扫楼造型引热议,完美腰臀比与修长美腿,让人心动不已_身材_短裙

q版人物 #从漫画里走出来的男孩 #图片来自网络 #张艺兴 - 抖音

零线电线颜色多为黑和蓝两个颜色,在电路中一般使用蓝色线,用字母n

保时捷911跑车,红色的壁纸高清原图查看

微博之夜残酷名利场:张艺谋拒绝上台,大合影站位等级分明

女生宿舍

抗皱滋养whoo后天率丹护肤套装中样2件套水乳各25ml旅行试用装补水