英雄小八路

相关图片

1973年木偶片小八路

英雄小八路

《英雄小八路》中国画彩墨画连环画1963年

一部红色影片 ┃ 英雄小八路

英雄小八路

随机推荐

精选头像周杰伦头像简笔画头像

谁能拒绝得了呢这么一位有风度的飞影铠甲

52岁萧蔷身材太魔性穿百褶短裙过膝长靴大长腿让人看直眼

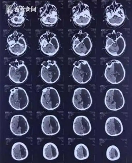
原创神奇60岁老人做头部ct左脑是空的仅靠半个大脑存活

女士职业证件照06超好看的职业装98 今日份分享女士职业装证件照

令人窒息的~ 喉结#蔡徐坤

影片讲述的是严方追击并逮捕"红蜘蛛"一干罪犯的故事.

斗龙战士:海纳斯全新进化,双子星龙和天蝎星龙的力量