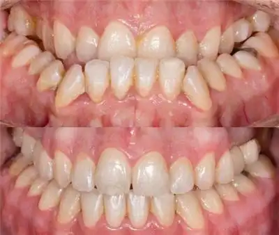
龅牙嘴凸没下巴,牙齿矫正对外貌的变化有多大?

相关图片

郑州唯美口腔牙齿矫正多少钱这几种材料热销人气高

漫漫正畸路.#牙齿正畸##牙齿矫正##牙套毕业# #前后对比 - 抖音

虎牙矫正前后对比图

地包天矫正对比

牙齿矫正前后对比实在太大啦!30多岁都不算晚!

随机推荐

手机壁纸周杰伦

赵丽颖离开了ps,直接胖了好几斤,瞬间暴露真实长相差距

1991年,朱茵刚满20岁!一头蓬松的卷发,一双灵动的眼睛!

可爱粉色系少女心电脑壁纸

big boobs,women,壁纸,高清壁纸人物,模特,denise milani,黑发,大胸

港星女神 #盛世美颜

许佳琪 - 堆糖,美图壁纸兴趣社区

【李佳航】【陈绍聪】外科风云 13-2cut——陈绍聪的爱情故事1