《中国机长》票房25亿,居中国电影票房总榜第12名

相关图片

图片|中国机长

图片|中国机长

中国机长跟着电影去创作共p

电影《中国机长》剧照

中国机长thecaptain是由刘伟强执

随机推荐

陈伟霆美妆大片,寸头小烟熏又a,又撩,又高级

42岁周渝民和37岁宋茜演现偶我忍了,但实在忍不了十级的磨皮滤镜

汉服妆造宋制婚服造型

背景图天空

坤颖姐弟太甜了眼神交流默契十足奔跑吧蔡徐坤杨颖

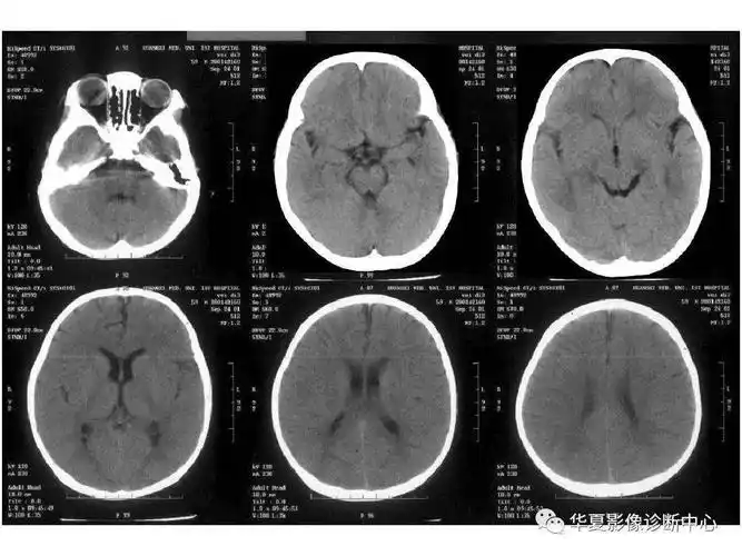
收藏!影像医生必备 | 手把手教你读懂颅脑ct

组图:女明星短发造型大pk 刘亦菲吴谨言一言难尽金巧巧完胜

原创杨幂车展旧照火了穿低领纱裙身姿曼妙弯腰拍照引起热议