约克工业冷冻螺杆压缩机汇总拆分步骤(上)

相关图片

活塞式氨制冷压缩机

离心式制冷压缩机

zr72kc-tfd 涡旋压缩机 适用r22冷媒_涡旋式压缩机_压缩机_制冷系统

半封闭式制冷压缩机 图3—14 r22半封闭式制冷压缩机的总体结构图 1

螺杆式制冷压缩机结构图 螺杆式制冷压缩机的型号表示方法

随机推荐

「神雕侠侣ー小龙女」刘亦菲

贾静雯低调走机场,穿格子大衣优雅又飒气,内搭横条纹毛衣真显胖_版型

清新大草原蓝天白云秋高气爽绿色护眼桌面壁纸(一)

每日速写吴磊

高清黑衣蒙面人微信头像点击鼠标右键下载

塔罗牌占卜他有什么话想要告诉你打算怎么处理这段感情

【宋亚轩×刘耀文】刘耀文叫宋亚轩宝贝诶,磕死我了

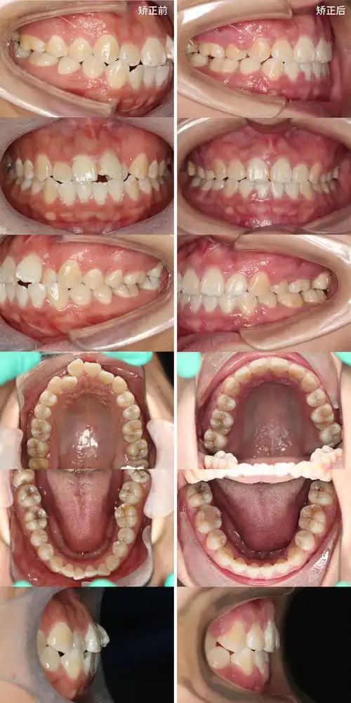
龅牙嘴凸没下巴,牙齿矫正对外貌的变化有多大?