aic佛家施予合十大圆满纯陀触地禅定各种手印手部姿势动作矢量

相关图片

启动仪式手印图片

瑜伽手印系列之合十手印【健康随身行】这个手印可以让身体的地水

瑜伽手的位置合十礼安贾利手印在白色

佛像手印的深刻含义

6.双手合十手印 即阴阳平衡手印,放在胸前做成冥想的姿势.

随机推荐

赵丽颖亲身示范 这才是证件照打开的正确方式啊

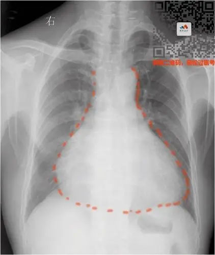
要么是心脏本身增大(心包积液—烧瓶心)要么是心包里面灌了水普大型

"娶妻不娶颧骨高,嫁汉不嫁连眉梢",有无道理?未婚男女应注意

新综艺:《歌手2024》首播结束,收视表现不错,但有人却不在状态

清新素雅的绣球花,高清图片,手机锁屏桌面-壁纸族

萌萌的小恶魔,丑丑的还很可爱!#ai绘画

当168的张天爱遇上170的韩雪网友鞋底那么高这身高也就160

儿童演出服美式立领国军军官表演服刁德一服装民族服装