嘻哈百佳不作数东渡求得嘻哈魂别再问我什么是嘻哈①与hiphop百佳专辑

相关图片

lil wayne才是00后的神!#hiphop#专辑封面 - 抖音

hiphop #说唱 #视觉 - 抖音

呼市灵子舞蹈hiphop嘻哈舞是什么以及起源 - 呼和浩特58同城

hip hop - mc thomy - qq音乐-千万正版音乐海量无损曲库新歌热歌天天

徐东hiphop哪个好? - 武汉58同城

随机推荐

谢邀我喜欢三小只很多年了,从最开始的澄海… - 半次元 - acg爱好者

陈伟霆 南方有乔木 时樾 时俊青

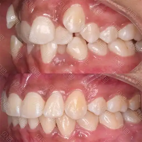
你们谁知道有虎牙的怎么矫正,不能拔!拔了会让嘴巴塌陷

牵一发而动全身好家伙要不是杨颖真没看出来李晨这么牛

御捷电动车控制器在什么位置「专家回答」

企业财务报销工作流程

loewe罗意威 paulas ibiza系列第三季限时店于北京skp四层k大道揭幕

好家伙,我一个高中都要想办法留长指甲,一年四次美甲(我有常去的店