杨颖angelababy 若萱_如颖随行_爱杨颖要可爱炸了

相关图片

手绘卡通头像之杨颖

海绵手绘工作室 angelababy

angelababy

杨颖美图

杨颖angelababy q版 by momo手绘工作室

随机推荐

1910年代的宫装 the lafayette studio

实验室设计方案让实验室建设更科学

回车桌面>电脑壁纸>明星>大陆明星>小鲜肉易烊千玺魅力帅气迷人写真>

xy昕妍社团个人话题:#鞠祎祺其他话题:#王俊凯 #饭圈文字控专:@ht

我最萌迪丽热巴嘟嘟嘴可爱gif动图_动态图_表情包下载_soogif

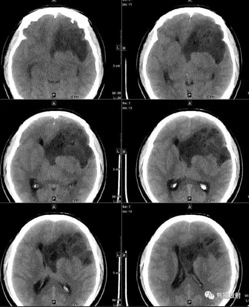
行颅脑ct平扫(可点击图片放大查看)

《甄嬛传》的安陵容——陶昕然

短寸锅盖头飞机头_小红书