胸导管和乳糜管

相关图片

f 脂类 s 滑面内质网 g 高尔基复合体 c 乳糜微粒 cl 中央乳糜管

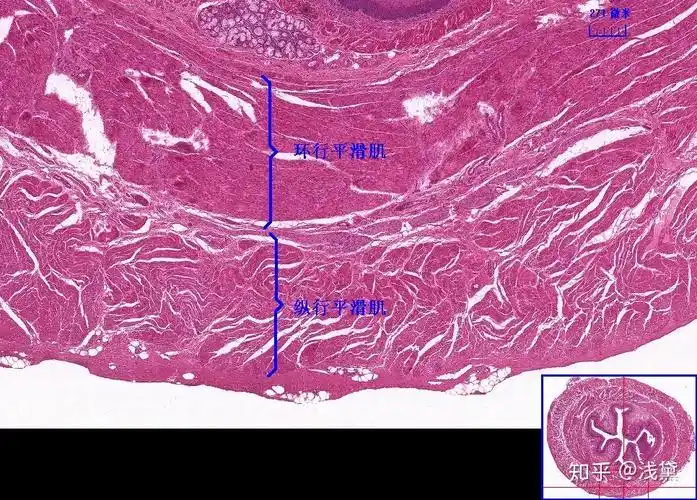
8.食管(纵行平滑肌,环形平滑肌,食管腺)7.

5mm,随导管分支逐渐变细,末端与腺泡相通,以乳头为中心呈放射状排列

腺泡分泌出来的乳汁,由输乳管输送到乳窦,宝宝吸吮乳头,乳汁排出.

是我乳腺管太细导致的奶少么?

随机推荐

吴磊清爽帅气写真图片56

《无间道》九大影帝内心独白,之梁朝伟

明星欧阳娜娜同款粉色太阳镜韩版ins网红复古大方框墨镜蹦迪眼镜

dota2沙王游戏人物图片桌面壁纸高清大图预览1680x1050_游戏壁纸下载

有人报警称高速路上躺着个人 都被压扁了 交警到现场后愣住了

动漫里最能驾驭银色长发的5个男生,个个好样貌,第五已找到男友

品相很好的民国老铜币,好物与君共赏!民国·河南省造双旗100 - 抖音

两边短中间长的发型图展示两边铲个性又帅感爆棚