iphone 11 pro max内置深蓝色背景图片,4k高清其它图片,娟娟壁纸

相关图片

深蓝色背景和黑色边框纹理,旧的纯蓝色纸张,空白的网站和产品展示模型

深蓝色的天空高清桌面壁纸

深蓝色

深蓝色的大海,高清图片,壁纸,自然风景-桌面城市

深蓝色系壁纸

随机推荐

景甜代言翻车了违法代言被罚没722万明星代言乱象将被整治

《英雄本色》阿成第八名,李子雄龙方于20世纪80年代初,曾与周润发

手机壁纸,姓氏壁纸-我姓闫

可爱刀刀狗卡通文字高清电脑桌面壁纸

13岁的整容少女你还好吗

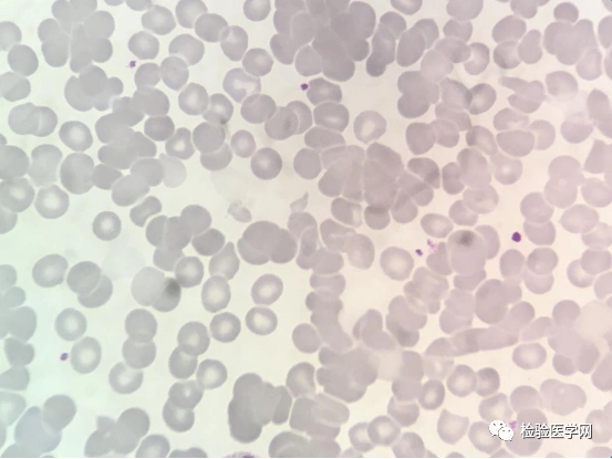
面对一份「高冷」的红细胞凝集标本,你会如何处理?

韩国指甲油高端estemio贵妇美甲甲油胶奶白杏白色甲油胶

《蒙面歌王》沙宝亮获人气实力偶像大奖