(不是黄海波)张智霖和张智尧张智霖和白古古张智霖陈晓陆毅年轻时候的

相关图片

i霖进张智霖的一组普普通通杂志照进来找不同0269

张智霖为什么又帅又深情!

张智霖1015卡地亚cartier活动高清出图7p配饰卡地亚西装valentino他好

张智霖晒照自称流浪汉但胡子拉碴加忧郁眼神却十分帅气迷人

张智霖突发胆囊炎送急诊工作室宣告原定行程延后

随机推荐

看刘亦菲温柔随性,清纯甜美,仙气飘飘,超凡脱俗!#刘亦菲# #娱乐

电影版除了原班人马之外,主演卡司还加入男张家辉,古天乐,吴镇宇

谭松韵 - 堆糖,美图壁纸兴趣社区

高冷女生头像叛逆霸气高冷的叛逆女头高清图片

novitec rosso法拉利f12 berlinetta n-largo s,跑车,超级跑车(水平)2

金晨gif微笑gif清纯gif天天向上gif王一博gif兴奋gif

老爸当家收官曹艳艳饰演权芳引主妇共鸣

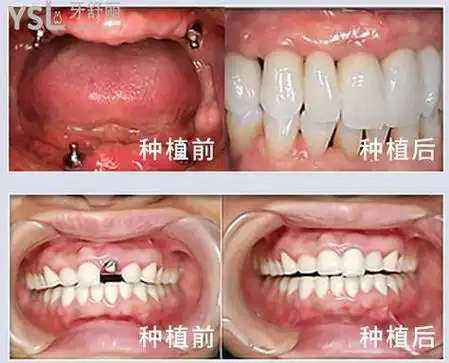
上海百仕口腔顾客种植牙效果图