快乐女声排名(选秀鼻祖快乐女声举办已16年)

相关图片

电视 快乐女声 2009快乐女声 快乐女声 图集 来源: 搜狐娱乐

电视 快乐女声 2009快乐女声 快乐女声 图集来源: 搜狐娱乐 (责任编辑

王心凌首度加盟超女遇翻版甜心教主

正版 2016年超级女声全国20强合辑 超级唱片4cd 超女 车载碟 专辑

李霄云唱《最长的电影》新浪娱乐讯 6月17日晚,2009快乐女声全国20强

随机推荐

粉丝考古发现一个童年的幂姐,这都被扒出来了……|杨幂_新浪新闻

微笑可爱卡通男孩

安全漫画二等奖作品集你爱手绘风还是二次元

杨千嬅的身材管理#杨千嬅身材管理96嘶哈嘶哈~~是真的有被千嬅浇沣

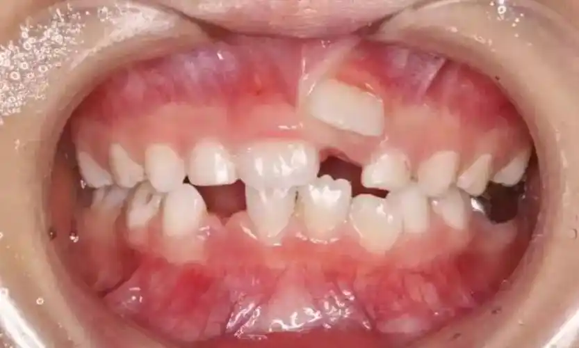
医生则表示,"双排牙"已成了儿童口腔疾病的常见病之一,大概要占到儿童

头像插画|一组可爱又俏皮的少女头像转需的哦小清新可爱小女孩头像

原创天地男儿重播戚其义天地系列短发美女有人惊艳有人丑出新高度

【图】歌曲呼伦贝尔大草原原唱欣赏 云飞唱响魅力武清歌舞晚会_内地