医生,我家孩子长了双排的牙齿,怎么办

相关图片

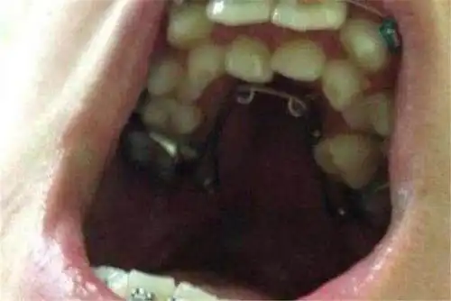
先天性下合第二双尖牙缺失

原创7岁男孩长"双排牙",需要一颗一颗拔掉,妈妈自责不已:都怪我

孩子长出"双排牙",竟是因吃得太精细-爱问医生-小队长-爱问医生

怎么处理畸形中央尖

儿童出现双排牙怎么办

随机推荐

李沁白色连衣裙知性优雅如果我们想表现出美好的品格,我们的人际关系

在二次元里,有没有很高的,名气大的女角色? - 知乎

每天坚持五件事,你的生活会越来越好!

白底黑字搞笑文字控

卧底剧照曝光周丽淇多面形象引垂涎

头皮毛囊炎 求大家帮帮忙 好痛苦 受其困扰好久了 大概有3年了 吃的药

歌手云朵登《我是歌手谁来踢馆》展感性歌声

演员孙菲菲太可惜了,孙菲菲