虎牙拔出对比照片

大半年了我的虎牙终于快回到自己的窝了

图片尺寸1080x1440

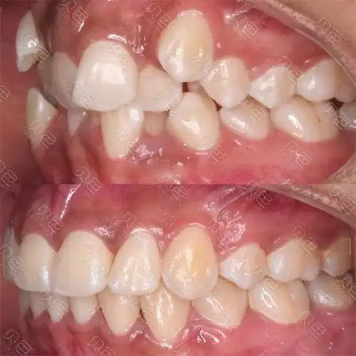
虎牙矫正前后对比

图片尺寸468x468

虎牙突出来拔掉就好了口腔科普第十八期

图片尺寸750x444

牙齿矫正.去年库存,来找我看牙这种虎牙翘起来的特别多,怎么解 - 抖音

图片尺寸1080x1080

虎牙患者在正畸治疗前,正畸治疗后的牙齿对比图(闫伟军供图)哈尔滨

图片尺寸450x550

虎牙 牙齿拥挤 不拔牙方案 整体矫治时间16个月91小姐姐的气质一下

图片尺寸1080x1156

正畸牙拔除下虎牙也拔啦

图片尺寸720x960

龅牙 虎牙牙齿矫正拔了四颗!

图片尺寸1080x1440

虎牙作为人人都有_圈子-新氧美容整形

图片尺寸570x570

真人案例牙知道虎牙矫正前后对比有差距

图片尺寸500x253

这个女生上颌有两颗虎牙,沟通中她非常恐惧拔牙,经过_圈子-新氧美容

图片尺寸570x665

虎牙矫正前后对比图

图片尺寸500x153

真真矫治前后对比图对于有小虎牙的小朋友大朋友们要注意啦!

图片尺寸600x800

3个月龅牙虎牙全部归队 9999整牙之前我的牙齿问题是:龅牙,下牙不

图片尺寸490x654

成人虎牙能矫正吗不要轻易拔虎牙

图片尺寸500x214

温婉端庄的沈眉庄,去口腔医院跑了十多次,最后还是把自己的虎牙拔掉了

图片尺寸828x616

可爱的虎牙能拔吗

图片尺寸500x237

拔掉虎牙牙齿矫正后两年的变化

图片尺寸800x600

虎牙矫正侧面对比照片

图片尺寸500x500

虎牙长得太丑了好想直接拔掉啊

图片尺寸1000x563