虎牙妹妹矫正,绽放自信笑容

相关图片

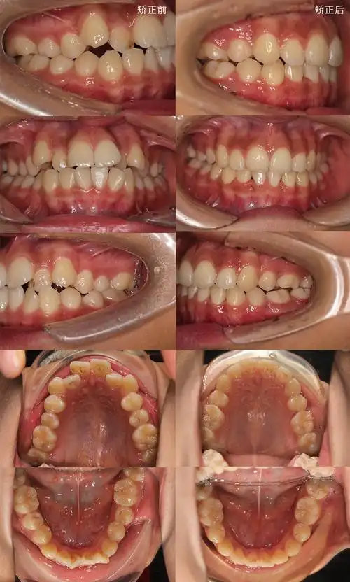
有虎牙需要戴牙套做牙齿矫正吗注意虎牙可能潜伏有隐患

dr.chen美学正畸案例##健闻登顶计划##深圳牙齿矫正

虎牙矫正327天

虎牙矫正的价格是多少?

虎牙女生矫正记录Ⅰ笑起来超好看的999990顾客小姐姐的_圈子

随机推荐

男人吸烟,吸的是寂寞,吸的是孤独,吸的是压力,吸的是烦恼,吸 - 抖音

范冰冰晒素颜照和猫比美 自我调侃:我和我妹妹

尊龙:有很多女演员想跟我生孩子,可他为何还是选择孤独终老

根本顶不住!十大最美の蛇形宝可梦排行榜

赛季结束时最终段位排名前2000名,授予峡谷之巅专属召唤师表情和图标.

年金终值系数表

梁天妻子孙凤英:是丈夫和继女的调和剂,是丧夫丧子婆婆的开心果_父母

超有爱姐弟头像 来取图