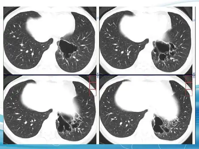
肺隔离症影像表现_郑孝飞

相关图片

肺隔离症影像表现

肺隔离症ppt

肺隔离症影像表现_郑孝飞

本是同根生相煎何太急肺隔离症一例

肺隔离症ppt

随机推荐

邓伦女儿突然间长大小时候懂事可爱如今美成初恋女神

2k 阿尔卑斯山 小镇 乡村 教堂 房子 风景 壁纸 电脑高清大图预览1920

内地新生代女歌手琳熙最新写真曝光

朴宝英发布会跟男主角出现最萌身高差

短发寸头头像男生简约寸头头像简洁寸头男生寸头男头像卡通版寸头卡

性感美女居家迷人小仙女专属壁纸

杜月笙曾被黑帮勒索,他只冷冷说了3个字,整个上海滩都噤若寒蝉

中文版韩国地图