嘴突少女变女神,牙齿矫正比你想象的更加神奇

相关图片

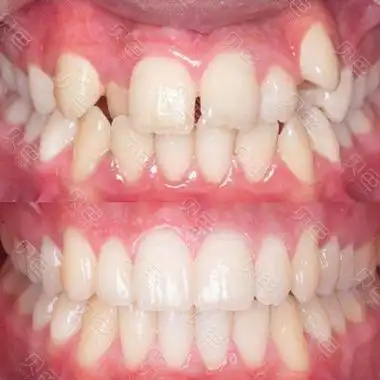
矫正前后口内像对比

牙列不齐反合矫正前后对比

牙齿矫正前后

牙齿矫正前后对比效果

牙齿-侧面及口内对比.jpg

随机推荐

火字的正确笔画顺序

头像图片情侣双人一人一半,在一起就是一生

刘大头是《2号交通站》中的反派角色,由演员袁苑出演.

凭八号当铺大火阿精嫁韩国老公却因童年阴影不敢生子

时代少年团麦田写真真是帅帅的,每张都可以当壁纸,选一个人带回 - 抖

腾讯内容开放平台

影视相视一笑美女帅哥gif动图_动态图_表情包下载_soogif

男人过了45岁,选两侧铲短头顶向后梳发型,时尚帅气很有派头