血细胞图谱大全ppt

相关图片

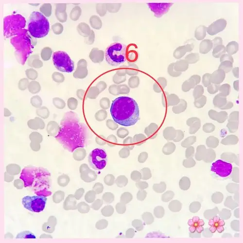
▼「中幼红细胞」形态特征:胞体呈圆形或椭圆形,胞核圆形,约占细胞的1

中幼红细胞 13

实验诊断学 早幼粒细胞 ↓ ↑ 中幼红细胞

中幼红细胞:胞体直径8~15μm,圆形.

其它 基础细胞图片 写美篇答案:早幼红细胞 形态特征:胞体呈圆形或

随机推荐

王力宏晒刮胡子前后对比照片

爱丽丝梦游仙境爱丽丝头像

蔡徐坤鞠婧祎恋爱蔡徐坤鞠婧祎cp名

梅开二度高调娶嫩妻的男星(组图)

求动漫图片类似与这种绝望的眼神的动漫图

2023烟花头像 2023超火的唯美烟花图片头像_微信头像_头像屋

世界上面积小的十个国家,最小的只有六十一个足球场这么大

老狼坐镇校园歌手大赛 品头论足指点众"小狼"