正常红细胞

相关图片

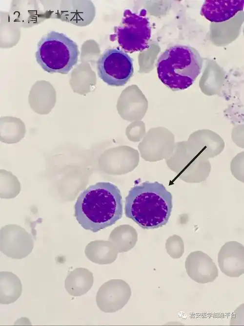
▼「中幼红细胞」形态特征:胞体呈圆形或椭圆形,胞核圆形,约占细胞的1

中幼红细胞 13

血细胞图谱大全ppt

早幼红细胞

细红 胞白细 血细胞

随机推荐

看山是山 看水是水 看肖战王一博是我的宝贝

蘑菇头流泪吃土:对不起,我不知道你这么有钱-蘑菇头,流泪,搞笑

胡歌妻子黄曦宁罕见露面,不修边幅素面朝天!胡歌又开始"发疯"

人总容易被相似的经历击中,正如《为青春点赞》的

新鲜的李姐78157815#演员春夏 #向全世界安利 - 抖音

蓝灰色背景图图片_蓝灰色背景图设计素材

万圣节鬼屋恐怖小场景

会员画集watapunchmauvekutatanekopunchsailor12p