牙齿矫正前后

相关图片

嘴突少女变女神,牙齿矫正比你想象的更加神奇

虎牙矫正前后对比图

25岁大龄矫正前后对比(图片比较辣眼,所以换成黑白色)

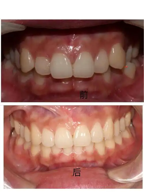
龅牙矫正前后对比图片,牙齿矫正,龅牙图片,龅牙矫正,牙科网www.

拥挤的牙齿越来越不齐?矫正迫在眉睫

随机推荐

今年最火的三种烫发巴西卷法式卷和羊毛也是容易翻车的发型

"梁朝伟不帅"?有时候迷人比帅更加高级!

老传统阿多福火男花臂纹身

黑白古风线稿:知音少,弦断有谁听

听说这种听装的口感更好哟.

王者荣耀武器橘右京修罗一刀白虎志李白英雄韩信飞衡合金模型玩具

杨超越古装造型曝光玉兔造型仙气飘飘少女感十足

厂家直销 加厚露眼压圈纸篓 垃圾桶 家用学校办公室日用品图片