这些红细胞异常,都掌握了吗?

相关图片

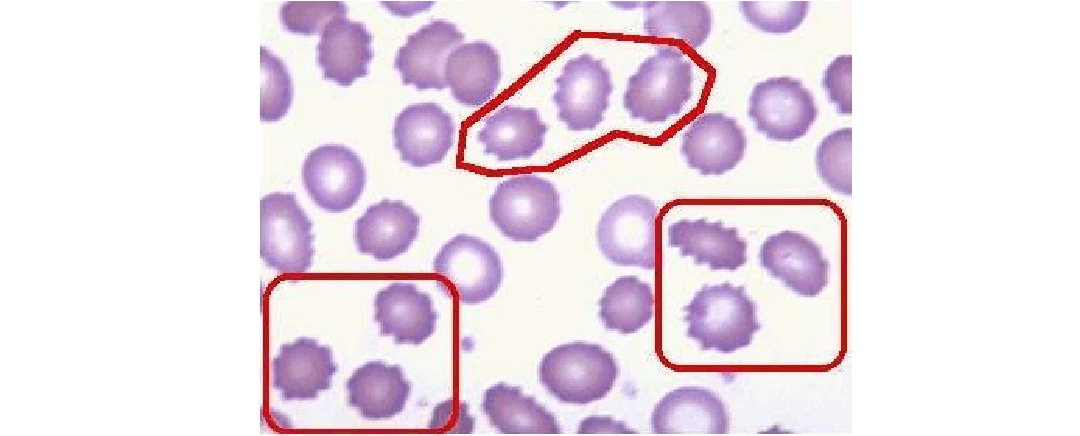
点击空白处查看答案钝锯齿形(皱缩)红细胞外周血涂片,瑞氏-吉姆萨染色

无忧文档 所有分类 血液细胞图谱ppt 刺毛红细胞 亦称锯凿细胞.

镜下结果血小板与网织红细胞通道结果基本一致,镜下还可见大量的细胞

正常白红细胞与镰刀型红胞 细

临床基本功│红细胞异常知多少

随机推荐

易烊千玺喷绘牛仔帅气图片桌面壁纸

虎年动物拟人化特辑,凶猛的老虎在画师的笔下也可以变得很可爱

唯美小清新壁纸,太喜欢啦

和巩俐相恋8年最后张艺谋却选择了陈婷是因为年轻漂亮吗

穿着牛仔裤和白色t恤的年轻人正在走路,看着相机的侧视图

泰国曼谷男生三七分发型 修颜又有型的韩式三七分气垫纹理烫,清爽有型

【海天卤水汁】230ml特色汁卤味汁卤肉卤蛋卤鸡卤豆腐

平面打磨抛光机 去毛刺除锈机不锈钢拉丝机全自动 金属板材砂光机