拉郎 张子枫x宋亚轩

相关图片

宋亚轩黑白大片来袭,精致下颚线魅力满满,五官优越超帅气_白色_脸部

宋亚轩下颚角真的就绝了啊

宋亚轩的侧脸真的好绝

宋亚轩微博更新动态 今日份下颚线杀人事件

宋亚轩的下颌线真的真的真的好绝

随机推荐

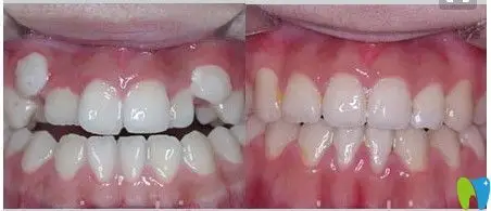
王涪华医生成人虎牙矫正前后对比案例图

文轩的动漫图也太可了

时尚芭莎红毯##时尚芭莎年度派对##宋茜玫瑰粉裙

这只小奶猫太会撒娇了

复古创意头像设计

胡子满脸自信时髦的外表胡须时尚与理发理念男人胡子时髦的胡子和胡子

豪门少爷/千金双双穿越后… | 蔡徐坤&虞书欣 默片穿越便装挑战

history4近距离爱上你第三集永幸cp傅永杰叶幸司cut看腹黑弟弟如何一