七年级男生牙齿矫正虎牙到合理的位置了_牙套_牙齿矫正_青春期_矫正

相关图片

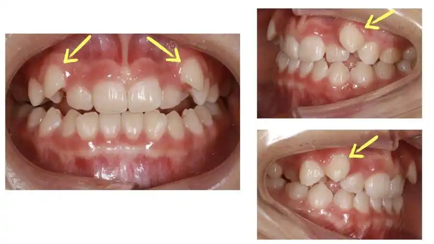
常常因为位置不够,而被挤出在牙列之外,就是我们平时经常被称为小虎牙

尖牙的位置占据导致后萌出的尖牙被「挤到弓牙以外的位置上」形成虎牙

这样能够让虎牙回到正常的位置和解决虎牙畸形问题

虎牙这个位置的牙其实叫做尖牙,不管有虎牙还是没虎牙,尖牙是人人都有

虎牙出现主要是尖牙的位置不足而引起的,一般由于尖牙的萌出时间比它

随机推荐

少女可爱梦幻仙气头像60张_女生动漫头像_头像屋

朴灿烈粉色 - 堆糖,美图壁纸兴趣社区

镇卫计局副局长王丽利主持会议▲企业现场签约早在5月,临浦镇已完成

励志壁纸来了.#手机锁屏 #屏保该换了系列 #文字背景图 # - 抖音

姓氏谐音梗:杨姓 1,杨杨得亿 2,杨葱头 3,太杨当空照 4,喜气杨杨 5,杨

张子枫终于女人味一回!

26岁王玉雯身穿刺绣白色连衣裙,好身材根本藏不住!_网友_活动_魅力

祝祖国母亲67岁生日快乐我最骄傲的事就是我是中国人.