平扫ct

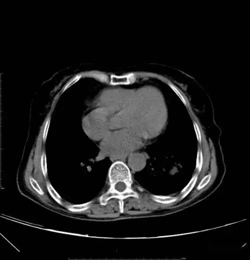
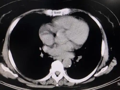
6月6号在医院做的胸部平扫ct 我这是肺气肿吗?

图片尺寸1200x1600

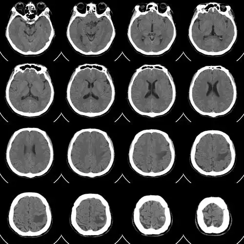
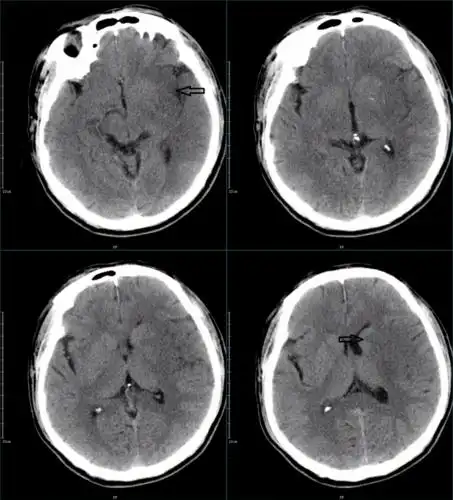
67超急性期大面积脑梗死ct平扫表现

图片尺寸1080x1193

术前ct平扫

图片尺寸1200x1600

胸部ct平扫

图片尺寸1080x810

2012-5-15胸部ct平扫(a医院)

图片尺寸2736x3648

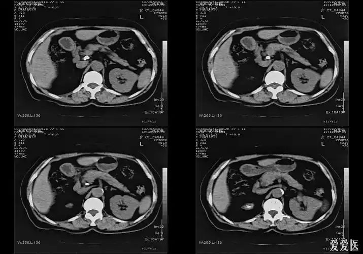
分享一例肾自截病例ct平扫

图片尺寸1096x766

胸部ct平扫示左下肺占位——肺癌_淋巴结

图片尺寸1080x1121

67超急性期大面积脑梗死ct平扫表现

图片尺寸854x944

首先09年ct平扫

图片尺寸1280x960

ct平扫

图片尺寸900x1200

经典图谱ct平扫诊断主动脉夹层

图片尺寸418x738

图3 ct平扫 增强

图片尺寸2448x3264

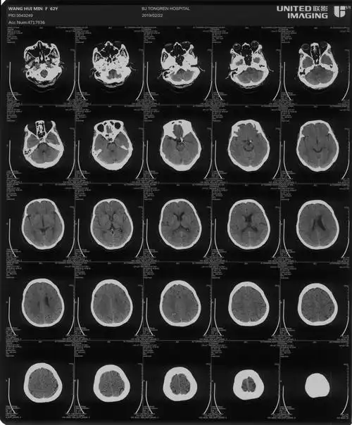
头ct平扫.jpg

图片尺寸2048x2048

胸部ct平扫(纵隔窗)

图片尺寸2000x2481

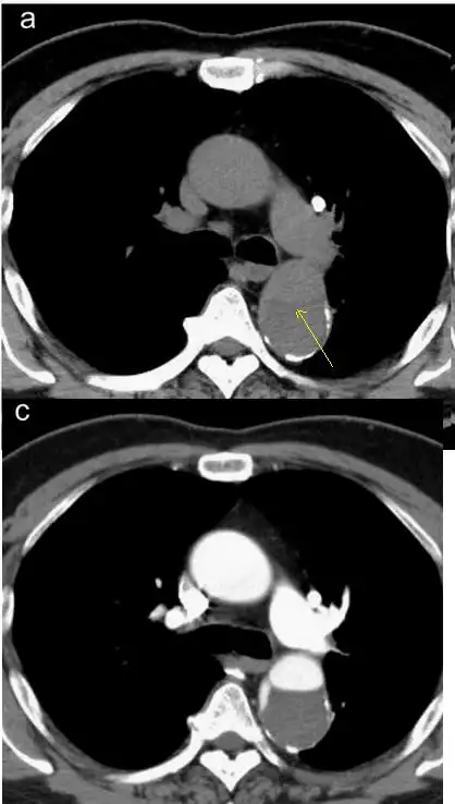
左肺巨大肿块,ct平扫及增强扫描,三天后公布结果

图片尺寸635x689

胸部ct平扫示左下肺占位肺癌

图片尺寸1080x1121

头部ct平扫

图片尺寸2000x2417

平扫ct

图片尺寸1080x1348

胸部ct平扫01.jpg

图片尺寸1500x1777

外院ct平扫

图片尺寸2000x2667

猜你喜欢