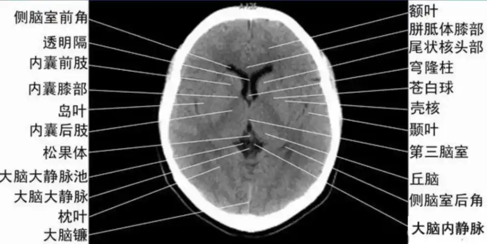
收藏!影像医生必备 | 手把手教你读懂颅脑ct

相关图片

患者入院后头颅ct提示蛛网膜下腔出血,以脑干前方为主,提示后循环

67超急性期大面积脑梗死ct平扫表现

读片丨女30岁间断性头痛颅脑ctmri

皓月ct头颅图像技术和样片分享

图-:2014年11月24日脑ct.png

随机推荐

唐嫣高中旧照被曝妥妥的天然大美女天生丽质啊

有种反差叫肖战腹部一条线看上身是纯情好学生下半成年级倒数

大冰小将易烊千玺带小将齐唱大梦想家

宋亚轩

p站搬运无授权侵删致歉 夏目友人帐 的场静司x夏目贵志

0.1g是多少mg啊

适合学生党的平价水乳测评.#水乳套装排行榜前十名 #水乳推荐 - 抖音

穷小子欧豪没钱又没没背景为什么会受到导演的喜欢